Histoloji
Wistar farelerinde
Ribeirão Preto Tıp Fakültesi Patoloji Bölümü Laboratuvarı'nın İzniyle - USP

Ribeirão Preto Tıp Fakültesi Patoloji Bölümü Laboratuvarı'nın İzniyle - USP

N = 29 Wistar sıçanları
Ağırlık ortalama: 421g
Hayvanların kökeni: Biotério, São Paulo Üniversitesi, Ribeirão Preto Kampüsü Merkezi
Bakım: Deneysel Patoloji Laboratuvarı, Ribeirão Preto Tıp Fakültesi'nde Patoloji Departmanı - USP
Hayvanların tutulması: polipropilen kutuları
Hayvan yemi: temel laboratuvar ve su diyeti
Işık koşulları: kontrollü temel koşullar altında doğal ışık / karanlık döngüleri
Deneyciler: A. Tenenbaum, R. Mené, Kim

Fareler, C02 odalarında ötenazi edildi.



Yorum: Salin solüsyonu enjeksiyonundan sonra beyan edilecek bir şey yok

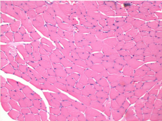
ol: Pretibial-Tedavi yok

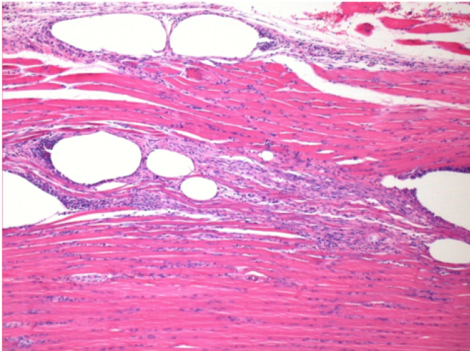
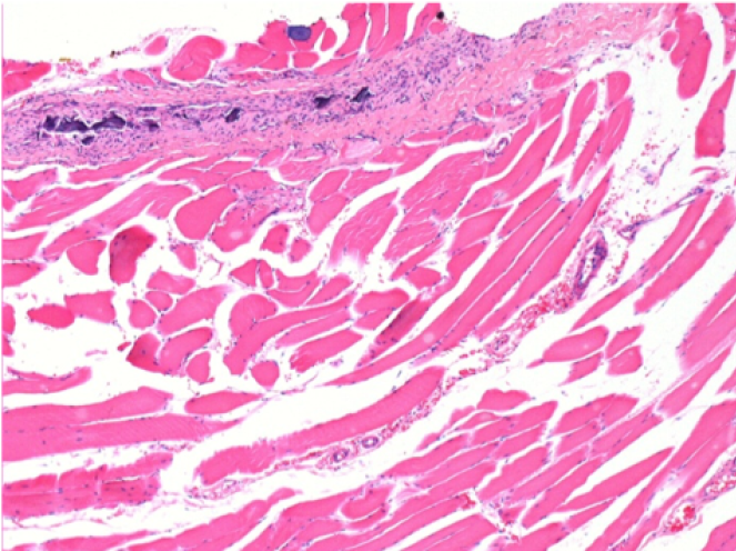
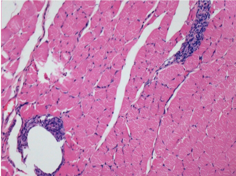
Endopeel Enjeksiyonundan 10 gün sonra sağ pretibial kasta 0.1ml.
Burada lenfositlerle çevrili vakuollerin oluşumunu görebilirsiniz. Vakuoller doku nekrozundan farklıdır. Lenfositlerin varlığı, hücre zarlarının geçirgenliği ile ilgilidir.




07
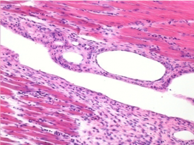
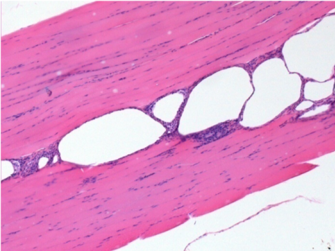
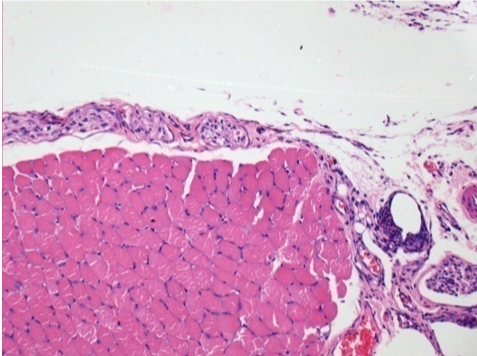
Endopeel Enjeksiyonundan 1 ay sonra sağ pretibial kasta 0.1ml.
Resimlerde siyah olarak görülen şey, bazı bilim adamlarının hayal edebileceği gibi bir nekroz değildir!
Aslında, 4 sonuç dikkate alınmalıdır



08
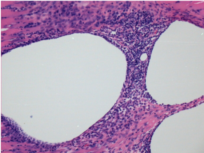
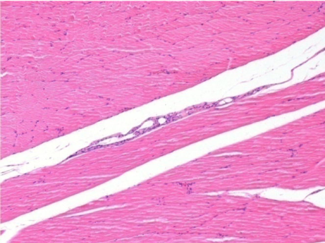
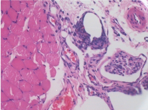
Sağ pretibial kasta 0,1 ml Endopeel Enjeksiyonundan 3 ay sonra (D90).


09
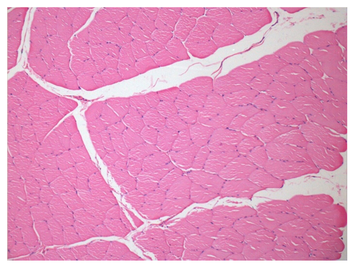
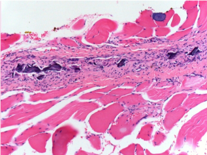
7 ay (D210) Endopeel IM Enjeksiyonundan sonra sağ pretibial kasta 0,1 ml.
7 ay sonra Restitutio reklam entegrasyonunu tamamlayın



Sol : Kontrol 50xD210

Sağ 50X-D210
10 Deri altı Enjeksiyon
Sağ deri altı pretibial bölgede 0.5 ml (5x 0.1ml) Endopeel SC Enjeksiyonu.

Sol:200x-Kontrol-SC

R-D10-SC-200X

R-D30-SC-200X

R-D90-SC-200X

R-D210-SC-200X

R-D210-SC-400X

Endopeel, yaklaşık olarak 1 aylık bir periyotta seçici bir geri dönüşümlü miyofibroliz ve inflamatuar reaksiyonu indükler.
Kas değişiklikleri neredeyse tam olarak geri döndürülebilir
Kas, daha fazla etkinlik, kontrol ve etki süresi nedeniyle Endopeel'i enjekte etmek için daha iyi yerdir.
Çalışmanın her yerinde nekroz veya apse bulunmadı.